电话:029-87679000(总机)
地址:陕西省西安市西五路157号
邮编:710114
网址:www.2yuan.xjtu.edu.cn
突然爆发的疫情让今年的春节过得格外冷清,在面对严峻的防控形势下,节假日期间我院神经外科人坚守各自岗位,全力以赴,积极应对疫情防控期间脑外科急危重症患者的救治工作。
2020年1月31日19时,随着120急救车的驶入,从蓝田县转送来一位危重颅脑外伤患者,接到急诊科会诊通知后,我科值班医师权瑜主治医师第一时间赶到急诊抢救室,经了解病情后得知,患者5小时前于3米高的桥上不慎跌落,头部着地,当即意识不清,当地医院行头颅CT示:颅骨凹陷性骨折,合并左颞顶叶脑挫伤,硬膜下出血,蛛网膜下腔出血;当地医院处理不了,建议转西安,然而在节假日及疫情期间,西安多家医院不能收治,最终几经周折来到我院;患者意识不清,烦躁,查体不配合,伴失语,伴右侧肢体偏瘫,右侧巴氏征可引出。追问家属表示近期患者没有武汉旅居史及旅居人群接触史,目前无发热、腹泻情况。当即汇报值班二线郭振宇副主任医师后其指示:患者系急性重型颅脑损伤,病情危重,现手术指征明确,急需住院手术治疗,然而考虑患者转运过程中在多家新型肺炎定点医院停留暴露过,一方面安排患者住院积极完善术前准备,一方面积极向医院及科室汇报目前的情况。科主任屈建强主任指示:患者手术指征明确,同意急诊手术,严密观察患者有无发热、呼吸系统症状及腹泻等,必要时请感染科会诊,做好充分医患沟通,严格按照新型冠状病毒感染的感控要求做好防护。
经过快速而周全的术前准备,在麻醉科刘鸿涛、杨亚男及手术室张笑、田姗等老师的协助下,郭振宇副主任主刀,权瑜及黄廷钦医师协助下顺利完成急诊手术,术后患者安返急诊ICU。术后第二日,周任主任医师、刘重霄副主任医师查看病人并指导术后治疗方案。经我科和急诊科杨妮、周阳等医护人员共同努力下,现患者病情平稳,意识较前明显好转,现已转入我科普通病房。患者家属对目前的治疗效果非常满意,并对交大二院的及时救治表示感激。

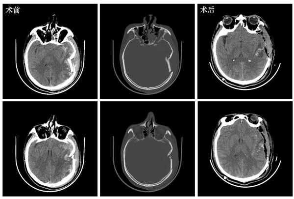
术前、术后头颅CT
术前CT示:左侧颞顶叶粉碎性凹陷性骨折,左侧颞顶叶脑挫伤,硬膜下血肿,蛛网膜下腔出血,脑肿胀明显;术中所见与术前影像资料相符;术后复查CT示减压满意。
在这疫情依然严峻的紧迫时期,神经外科认真学习并掌握医院发布的关于新型冠状病毒感染的诊治方案、防控流程等文件,坚持认真完成急危重症患者的救治,保持高度重视肺炎疫情的防控工作的同时,不忘初心,砥砺前行,为更多的脑外科急危重症患者的生命保驾护航。