电话:029-87679000(总机)
地址:陕西省西安市西五路157号
邮编:710114
网址:www.2yuan.xjtu.edu.cn
近日,急诊科团队以ECMO为核心,结合多种治疗手段成功救治了一名39岁重度肥胖的“重症肺炎 ARDS”患者,既往有呼吸睡眠暂停综合征。
患者以“发热6天伴呼吸衰竭”从外院转入我院EICU,CT呈“白肺”样改变,入院后气管插管呼吸机辅助通气,氧浓度100%,血氧饱和度不到80%,氧合指数只有50,生命岌岌可危。千钧一发之际,ECMO团队迅速全面的病情评估后,紧急启用ECMO支持治疗。
患者体重高达130Kg,是急诊科目前应用ECMO体重最大者,国内外对于重度肥胖患者的ECMO经验均不足,期间无论镇痛镇静还是抗凝管理均为团队带来巨大的挑战,但都被团队一一攻克。
原发病发面,裴红红主任领导的团队第一时间确诊了腺病毒感染,机械通气方面以呼吸力学监测为指导,个体化调整呼吸机的参数,为患者提供了最佳的呼吸支持,做出对“肺休息”及肺部病变的动态评估;面对整个治疗过程中凝血与抗凝的监测和抗凝相关的消化道出血,团队也制定了综合的管理策略,确保患者的生命体征稳定。凭借有效的团队决策、丰富的临床经验及精心的治疗,经过10天ECMO支持,后续经皮气管切开有创通气、续贯高流量吸氧,顺利脱离呼吸机,改为鼻导管吸氧,患者成功转入普通病房。这一成功案例再次证明了ECMO在救治危重症患者中的重要作用,也展现了急诊科团队在应用这一技术方面的专业实力。


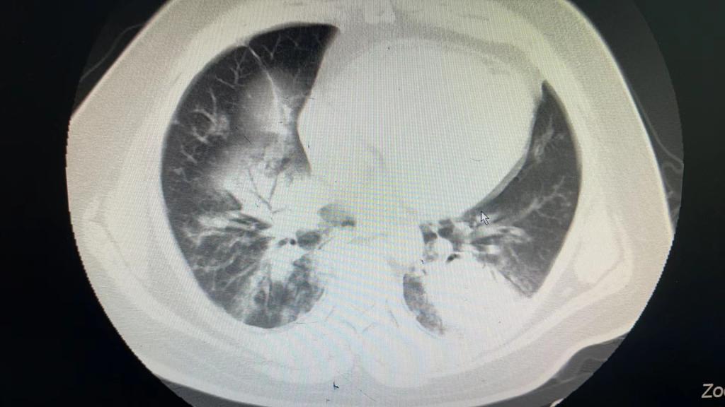
图1 图2腺病毒感染的白肺

图3 ECMO支持

图4 ECMO下机前经皮气切

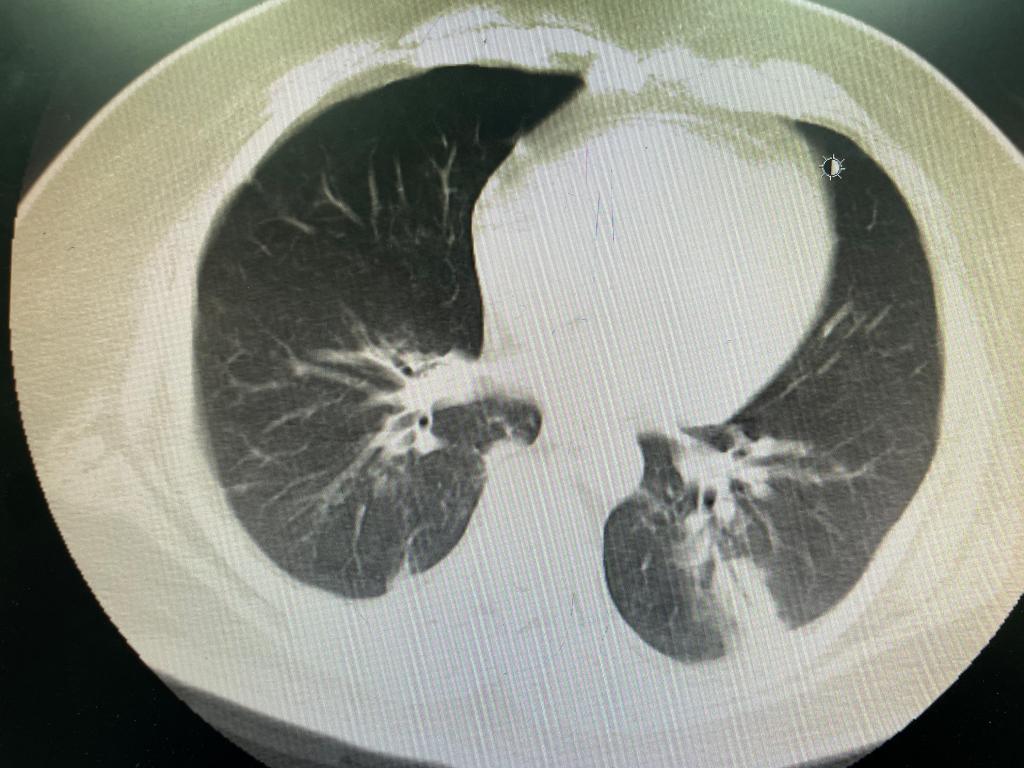
图5 ECMO下机后复查CT

图6转入普通病房
ECMO对疾病本身并无治疗作用,是通过一种专用的体外设备和材料,部分或者全部代替人体的心、肺功能,使患病了的心脏、肺脏得以休息,为那些有生命危险的心肺疾病治愈及功能恢复争取时间。
急诊科为我院最早开始ECMO救治科室,目前成功开展ECMO 100余例,使急危重症患者的救治水平进一步提高,也与全院多科室开展协作,为呼吸科重症患者救治、心内科介入手术、胸外科及普外科麻醉术中提供支持,积极参与我院危重患者的救治。