电话:029-87679000(总机)
地址:陕西省西安市西五路157号
邮编:710114
网址:www.2yuan.xjtu.edu.cn
近日,我院骨二科(脊柱外科)团队成功为一位高龄、合并多种心脑血管危重疾病的腰椎骨折至后凸畸形压迫脊髓患者实施手术,取得满意疗效。
一月前,84岁刘某在家中突然摔倒,坐在地上,不能站起,家人扶起后感双下肢无力,不能行走,鉴于患者之前有脑梗病史,家属将其送至我院干二病区诊治。入院后详细追问病史,患者有冠心病心房纤颤病史30余年,高血压病史20余年,颞叶脑梗死病史10年。通过神经系统详细查体,考虑患者病情无脑部定位体征,考虑与腰椎病变有关。急扫腰椎MRI示:腰椎退行性变,L4/L5、L5/S1椎间盘膨出,L1椎体压缩性骨折,T12-L2水平脊髓信号异常,考虑损伤。
对于这位病人来讲,立即手术解除脊髓压迫、恢复腰椎正常生理曲度是当务之急;这位病人的难点就在于患者年老体弱,内科合并症较多,行手术治疗风险极高,这类患者手术风险多为麻醉风险及术后心内血管意外、肺部感染、静脉血管栓塞性疾病,而且手术过程中对脊柱进行截骨矫正脊柱后凸时出血较多,患者能否耐受手术也需非常谨慎的评估。但是反过来说,患者目前已经产生脊髓压迫症状,如不及时治疗,患者双下肢无力症状会越来越重,直至截瘫,这样对患者家庭也产生极大的负担。从这一点来讲,立即手术似乎是唯一能够挽救患者、提高患者生活品质的方式了。所以,当干二病区请李浩鹏主任医师会诊时,李教授没有退缩,当即表示愿意对患者进行手术治疗,尽最大努力为患者解除病痛。看似李教授这么轻描淡写的一句,肩上承担的却是这个家庭对骨二科(脊柱外科)满满的信任。随机,患者转入骨二科(脊柱外科),转出诊断:1.腰椎骨折(脊髓压迫) 2.脑梗死 3.血管性痴呆 4.冠状动脉性心脏病 缺血性心肌病型 心房纤颤 心功能Ⅱ级 5.高血压3级。
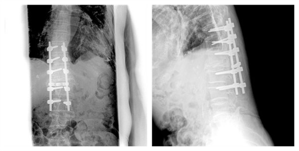
入住骨二科(脊柱外科)后,我们立即组织多学科会诊评估患者手术风险,特别是麻醉科多次前来评估患者,耐心指导患者术前注意事项。经过详尽而全面的术前准备,由李浩鹏教授亲自主刀,并邀请具有丰富经验的薛荣亮教授保驾护航,为患者顺利实施腰1截骨减压内固定术,解除脊髓压迫,患者术后三天即在支具保护下下床,观察伤口几日后顺利出院。
随着人口老龄化日益加剧,合并多种内科疾患的脊柱退行性变患者会越来越多,对我院的诊疗水平也提出了更高的要求。此例病例即是这一类型的典型代表,凸显了我院追求卓越的高超医术与救死扶伤的崇尚医德,同时也体现了我院多学科合作共同救治患者的医疗精神,为贯彻我院目前正在开展“两学一做”学习教育活动提供了真实范本。

术前腰椎MRI及术前腰椎侧位片

术后腰椎正侧位片

患者术后照片