电话:029-87679000(总机)
地址:陕西省西安市西五路157号
邮编:710114
网址:www.2yuan.xjtu.edu.cn
春节假期,万家团圆,美食自然是餐桌上不可或缺的主角。然而,若不慎被美食“卡喉”,这“团圆味”便可能瞬间变成“就医味”。2026年2月15日,农历腊月廿八,春节假期第一天,我院消化内科连续紧急接诊并成功处置了两例食管异物嵌顿患者,以高效专业的救治,为患者解除了燃眉之急。
百公里奔袭,十余分钟解“肉”忧
今年65岁的黄先生(化名),于2月14日中午进食时不慎将一块肉卡在食管,随即出现吞咽困难。在当地医院,医生尝试用胃镜取异物,历经两个小时仍未成功。为求进一步治疗,15日凌晨,黄先生的家属驱车百余公里,紧急将其送至我院。
我院消化内科李永主治医师接诊后,迅速评估病情。在助手安苗的默契配合下,凭借丰富的临床经验和娴熟的操作技巧,仅用十余分钟便顺利将卡在患者食管的肉块完整取出。奔波百公里,悬着的心终于放下,高效的处置与精湛的医术让患者及家属倍感安心。

鸡骨卡喉险象环生,医生妙手化险为夷
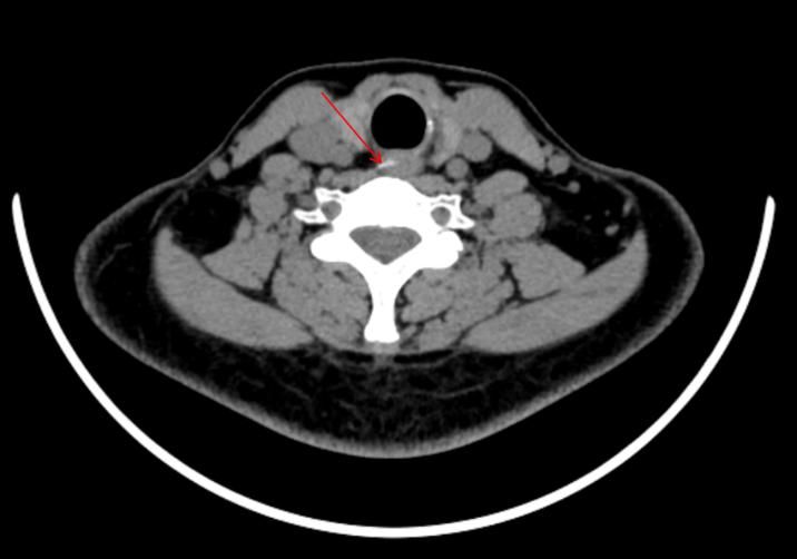
当日下午,41岁的常女士(化名)也因误食鸡骨头前来就诊。来院前两小时,她被鸡骨头卡住喉咙,随后出现咽部疼痛、呼吸困难、声音嘶哑等症状,情况十分危急。急诊CT检查提示,鸡骨头嵌顿于食管入口处。时间就是生命,我院消化内科陈芬荣副主任医师与助手安苗迅速组成救治小组,为常女士实施急诊异物取出术。医生们精准操作,成功将鸡骨头取出。患者的不适症状随即缓解,生命体征恢复平稳。

警惕!春节也是食管异物高发期
春节期间,食管异物为何高发?这多与进食匆忙、边吃边聊、咀嚼不充分等因素有关,老年人和儿童更是高危人群。异物嵌顿不仅会导致吞咽困难、疼痛,严重时还可能引发食管穿孔、出血,甚至窒息,危及生命。
为守护您和家人的健康,消化内科专家特别提醒您注意以下几点:
1.细嚼慢咽,食不言。进食时应集中注意力,充分咀嚼,避免边说边吃,让食物安全下肚。
2.特殊人群,需谨慎。老年人,特别是佩戴假牙者,应尽量避免食用过于坚硬、不易咀嚼的食物。
3.一旦卡住,切勿盲目自救。发生异物卡顿后,千万不要尝试吞饭团、喝醋、抠喉或催吐,这些错误方法可能将异物推向更深处,甚至刺破食管或阻塞气道,造成二次伤害。
4.立即就医,越快越好。正确的做法是:立即停止进食进水,尽快前往正规医院的急诊科、消化内科或耳鼻喉科就诊。
5.出现窒息,立即施救。若患者出现呼吸困难、面色青紫等窒息症状,在等待120急救的同时,应立即对其施行海姆立克急救法。
春节期间,我院消化内科全体医护人员将持续坚守岗位,为您的健康保驾护航。祝您和家人度过一个平安、健康、欢乐的新春佳节!