电话:029-87679000(总机)
地址:陕西省西安市西五路157号
邮编:710114
网址:www.2yuan.xjtu.edu.cn
近日,我院胸外科应用4D打印气管外支架完成了一例高难度的手术,为患者解决了40多年未能解决的沉疴痼疾。
61岁的贺阿姨在十几岁时曾因为甲状腺疾病做过1次手术,遗憾的是因当时技术所限,肿瘤并未切除干净,此后的40余年,颈部的肿瘤越长越大,延伸到胸部,气管全段被压迫,出现憋气、气喘等现象,病人在当地医院咨询过几次,都因肿瘤过大,距离血管、神经太近无法行手术切除。直到1个多月前,患者在家人的陪同下来到的交大二附院。
我院胸外科李少民主任、张晋教授团队接诊患者后,详细评估了患者的情况:患者影像学资料提示甲状腺肿瘤巨大,直径超过16cm,向下延伸至胸骨后前纵隔,下极位于主动脉窗隆突下方,压迫全段气管、无名静脉、锁骨下动脉等结构,气管受压长度超过10厘米,最狭窄处只有3.79mm。考虑到肿瘤切除后的气管软化问题,其可能的软化长度远超气管切除的极限长度(一般气管最长切除不超过6cm),结合以往病例经验,李少民主任团队讨论后决定为患者定制4D打印的气管外支架。团队联合唐都医院胸外科黄立军教授、王磊博士,以及西安交通大学机械制造学院李涤尘教授、贺健康教授团队,对患者影像学资料分析并进行了三维重建,并依据重建资料为患者量身订制了可降解的气管外支架。

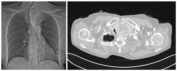
术前胸部CT:颈部及前纵隔肿块巨大,压迫导致气管狭窄并右偏明显

气管三维重建图像与4D打印的气管支架
9月8日,在麻醉科、手术室的通力合作下,术中邀请普外科徐金锴教授会诊进行颈部甲状腺的操作,李少民主任主刀,张晋副教授、孙良璋医生为助手,顺利完成了手术。术中采用正中开胸联合颈部横切口,完整切除了甲状腺左叶及前纵隔的巨大肿瘤,术中肿瘤切除后气管软化明显,与术前的预期一致,而将支架与气管软骨环缝合固定后,软化塌陷的气管明显得到支撑,麻醉苏醒后患者顺利拔管返回普通病房。术后第二天,患者已无憋气现象,呼吸困难的症状基本消失,自主咳嗽咳痰有力,气管镜检查发现气管通畅良好,无狭窄,已可自行下地活动。
临床上大家接触较多的气管支架为内支架,虽然可以有效解决气道狭窄的问题,但因其附着于气管内壁,大多数需要取出,对于患者咳嗽排痰影响较大。4D打印作为一个全新的概念,在原有3D的基础上,多了一个时间维度,通过调整打印所需生物材料的种类和分子量,调控材料的降解周期,使支架可以在未来的3-4年内逐渐被人体吸收,既解决了气管软化塌陷的问题,又无需二次手术取出,最大限度减轻患者的痛苦。
经文献检索,气管全段支架尚属首次,本次手术的成功实施,预示着我院胸外科在气管外科方面达到了国内一流水平,而全新材料在手术中的成功运用,也将带来外科发展的新方向。