电话:029-87679000(总机)
地址:陕西省西安市西五路157号
邮编:710114
网址:www.2yuan.xjtu.edu.cn
近日,我院普通外科成功完成一例严重压迫气管的甲状腺巨大肿瘤切除,术后患者恢复良好。
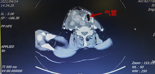
八十岁的王奶奶三年前发现自己颈部有个3公分大小的包块,在外院就诊后考虑年事已高,未进行安排手术治疗。随后几年颈部肿物逐渐增大至已影响正常呼吸,尤其夜间睡觉时出现憋喘症状,家人心急如焚,辗转多家医院求助,均因各种原因未能进行有效治疗,后慕名来我院找到普外科曹罡教授,在为其完善颈部超声后,考虑肿瘤符合甲状腺来源,予以收住入院。入院后经完善一系列细致全面的检查,颈部增强CT考虑“肿瘤严重压迫气管,气管最狭窄处宽约5mm,并且与颈部血管关系紧密”;喉镜提示患侧喉返神经麻痹;气管钡透提示造影剂呛入气管,提示喉上神经功能受损。气管镜提示气管可疑受侵犯。穿刺活检提示甲状腺乳头状癌。目前患者气管严重偏移狭窄,肿瘤与周围血管、气管、食管、神经可能存在的侵犯为手术带来了巨大的难度:气管狭窄难以完成麻醉插管,诱导麻醉过程中可能窒息;长期压迫气管可能造成气管软化,术后塌陷窒息;对气管的侵润可能需要切除部分气管并重建气道;对喉返神经的侵犯需要术中严格保全健侧喉返神经功能,否侧患者术后将会出现窒息;肿瘤侵犯于颈内静脉与颈内动脉关系密切,切除肿瘤后还要能够保留血管功能,保护大脑的血液供应及回流。

为保证手术的顺利实施及治疗效果,全科上下高度重视,术前进行了多次讨论,同时医务部抽调多学科团队,组织相关科室进行MDT讨论并制定了详尽的应对方案:考虑患者甲状腺乳头状癌诊断明确,应该手术切除全部甲状腺,为以后碘131治疗打下基础。由急诊科使用ECMO为手术保驾护航,即使麻醉插管不顺利,ECMO也能保证患者血氧供应;耳鼻喉科负责术中可能出现的气管部分切除及重建,气管软化或神经损伤时使用气管切开;术中备有人工血管,做好切除部分颈血管的准备。



一切准备工作就绪,4月27日由曹罡、刘阳教授团队携手相关科室:在急诊科ECMO团队张正良教授、麻醉科吕建瑞主任、张珍妮及杨毅猛医生、耳鼻喉头颈外科病院任晓勇主任、许映龙医生的大力协助下,辅助全麻进行了甲状腺全切除术,术中顺利切除了肿瘤及全部甲状腺,严密保护喉返神经,切除肿瘤侵犯的颈内静脉血管壁并缝合修复,肿瘤未侵犯颈内动脉,术后拔除气管插管时因气管软化难以维持呼吸遂行气管切开。术中及术后患者生命体征平稳,患者目前正在逐步康复阶段。此次手术,从术前详尽的评估到具体手术的成功实施,充分展现了二附院人不畏艰险为病患排忧解难、仁心仁术的精神及强大的组织协调能力。