电话:029-87679000(总机)
地址:陕西省西安市西五路157号
邮编:710114
网址:www.2yuan.xjtu.edu.cn
近日,我院胸外科李少民主任团队在急诊科裴红红主任ECMO(体外膜肺氧合)团队、麻醉科吴刚教授麻醉团队及手术室赵丽艳护理团队的配合下共同完成了我院首例ECMO下免插管气管肿瘤切除术。
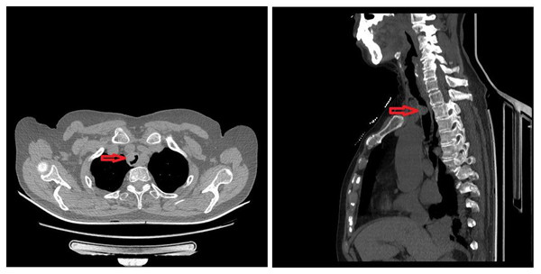
71岁的女性患者王某,因“胸闷气短1月余”于2020年08月31日入住我院胸外科。胸部CT及支气管三维重建提示主气道肿物(图1),气管镜检查提示距声门6cm、隆突上5cm处隆起性病变,位于胸锁关节后方,占据管腔60%,取病理活检提示“粘膜腺样囊性癌”(图2)。经过术前检查排除手术禁忌后李少民主任邀请急诊科、麻醉科等相关科室进行多学科会诊,遂决定行在ECMO配合喉罩通气下行气管肿瘤切除、气管吻合术。9月9日上午,患者进行全身麻醉后,急诊科团队立即进行VV-ECMO连接,确保患者术中血氧的维持,随后胸外科李少民主任、马跃峰副主任医师团队进行手术操作,术中见肿瘤位于右头臂干及左颈总动脉后方,牵开双侧动脉充分游离并显露气管肿瘤位置,完整切除了肿瘤位置的气管,共切除4个气管环,长度约3cm(图3),并成功完成主气管上下残端吻合(见图4),手术过程顺利,术后患者生命体征平稳,顺利脱离ECMO、去除喉罩后安全返回胸外科监护室,目前患者病情稳定。

图1 胸部CT及支气管三维重建提示主气道肿物

图2 病理活检

图3

图4
与此前胸外科完成的ECMO支持下的气管肿瘤切除、隆突重建气管成形术不同的是,本次肿瘤位置高,位于主气管中段,手术难度大;其次,本次手术全程未进行气管插管,大大减少了气管插管对气管的损伤,减轻了患者术后的气道反应,术后患者痰液较少,实现了快速康复的目标。此次手术在大气道肿瘤切除的经验中又向前迈出了一大步。
体外膜肺氧合(ECMO),适用于常规心肺支持手段(如机械通气、IABP等)难于维持的严重呼吸衰竭、心力衰竭、心跳呼吸骤停、高危心血管介入及外科手术围术期患者的生命支持,可以部分或完全替代患者心肺功能。该技术通过静脉内导管把静脉血引出体外,经过体外氧合器进行氧合,氧合后的血液再重新通过静脉/或动脉输回体内,使危重症抢救成功率明显上升。
气管肿瘤切除、气道重建及成形手术是肺外科领域的高精尖手术,国内许多大型综合医院及肺外科专科医院对此项手术的开展较多,该手术在西北地区开展较少,我院经过实践和经验的积累,大气道肿瘤切除、气管重建、隆突重建术已日臻成熟,是我院胸外科临床水平的又一次重大突破与提高。