电话:029-87679000(总机)
地址:陕西省西安市西五路157号
邮编:710114
网址:www.2yuan.xjtu.edu.cn
近日,我院神经内科神经介入团队再创佳绩,完成亚急性闭塞大脑中动脉开通术一例。
患者刘某,69岁,2周前出现左侧肢体无力,外院DSA提示右侧大脑中动脉闭塞,给予内科保守治疗后效果不佳,肢体无力仍进行性加重。患者及家属抱着急切的心情就诊于我院神经内科。接诊医生巩雨查看患者发现左侧肢体完全不能移动,复查头颅CT显示右侧大脑半球分水岭梗死。影像科脑动脉高分辨MRI及灌注成像显示右侧大脑中动脉闭塞段长度约10mm,右侧大脑半球灌注严重不足。全科讨论后认为该患者右侧大脑中动脉闭塞导致的低灌注是病情进行性加重的主要病因;脑动脉高分辨MRI及外院DSA显示右侧大脑中动脉闭塞段不是特别长,远端血管床存在。综合考虑,开通闭塞的大脑中动脉是可能的和必要的,但是手术难度及风险较大。向患者及家属详谈手术必要性及风险后家属和患者均强烈要求手术治疗。神经介入团队基于患者情况充分术前准备,制定详细方案,最终在麻醉科配合下由张桂莲主任医师和王虎清副主任医师进行右侧大脑中动脉闭塞再通术。在张磊主治医师医师、汤有飞进修医师和神经内科护理团队的精心照料下恢复良好,术后第二天患者左下肢就能抬离床面。目前患者已转入我院康复科进一步治疗。

术前脑动脉高分辨MRI和灌注MRI

术前造影显示右侧大脑中动脉M1段闭塞

术后右侧大脑中动脉开通,远端血供恢复

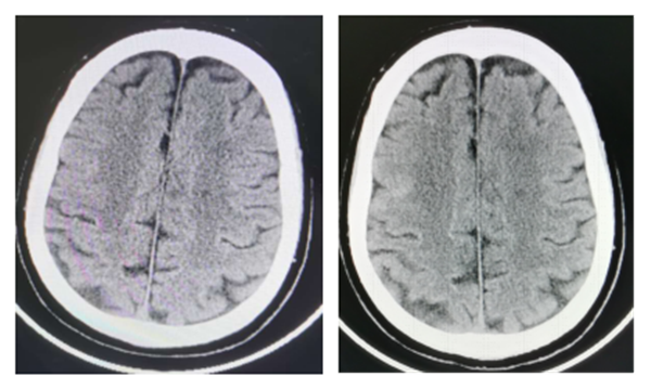
术后CT未见新增梗死病灶(右术前,左术后)
亚急性闭塞大脑中动脉开通手术并不是目前神经介入的常规手术,这类手术只能在充分评估风险和获益后在有经验的介入中心开展。我院神经内科介入,年完成神经介入手术超过2000台,在头颈部动脉狭窄支架成形术、脑栓塞急诊动脉取栓术、头颈部动脉慢性闭塞开通等方面积累了丰富的经验。我们将秉承院训:仁心仁术,尚德尚医,求实奉献,开拓创新,继续为广大患者服务。

患者家属送来锦旗