电话:029-87679000(总机)
地址:陕西省西安市西五路157号
邮编:710114
网址:www.2yuan.xjtu.edu.cn
对于肺与支气管疾病的外科治疗,常见的肺叶切除、楔形切除、全肺切除等手术方式多可以满足解决这一类的疾病需要,但是一些特殊位置的病变(如大气道肿瘤、隆突或侵犯隆突的肿瘤、各级支气管分级处肿瘤、侵犯肺门明显的中心型肺癌等)往往需要一些特殊的手术方式进行外科治疗(如袖状切除术、隆突重建术、支气管成形术等),这特殊的手术方式操作难度大、技术性强、围手术期处理相对复杂,需要更加精湛的外科团队及护理人员,以及多学科协作配合才可完成。
近日,西安交通大学第二附属医院胸外科在李少民主任的带领下,与急诊科ECMO(体外膜肺氧合)团队及麻醉科团队协作配合,完成了我院首例ECMO支持下的气管肿瘤切除、隆突重建气管成形术,实现了我院支气管外科领域的又一重大突破。



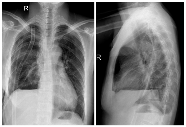
患者吕某某,女,43岁,因“间断咳嗽咳痰3年,胸痛伴活动后胸闷气短2月” 于2020年03月25日入住我院呼吸与危重症医学科。入院后行胸部增强CT提示右主支气管壁不均匀增厚,不除外纵隔内结节压迫/侵犯,纵隔淋巴结肿大。行支气管镜检查可见右主支气管开口肿物阻塞管腔,肿物呈结节状,凸向隆突,表面尚光滑,血供较丰富,内镜勉强通过,通过后见右肺中下叶开口,管腔通畅,活检病理结果为腺样囊性癌。考虑病变位置特殊且完全堵塞右住支气管并距离隆突较近,内科保守治疗效果差,经李少民主任会诊并与患者及家属沟通后转胸外科进一步治疗。转科后,在进一步完善术前检查的同时,李少民主任积极向院方申报重大手术申请,并邀请急诊ICU裴红红主任、麻醉科薛荣亮教授及心血管外科张伟主治医师来我科进行多学科会诊,经多方讨论后最终决定手术方案为在ECMO支持下行气管肿瘤切除、隆突重建气管成形术。经过充分的术前准备,4月17日上午,在麻醉科团队先进行全身麻醉后,急诊科团队立即进行VV-ECMO连接,确保患者呼吸功能的维持,随后胸外科李少民主任团队进行手术操作,术中充分游离并显露肺门结构,完整切除了肿瘤侵及的右肺上叶、部分主气管、隆突及部分左右主支气管,并成功完成主气管与左主气管吻合,左主支气管与右肺中间支气管的吻合重建隆突,手术过程顺利,历时3小时,术后患者生命体征平稳,顺利脱离ECMO、拔除气管插管后安全返回胸外科监护室,目前患者病情稳定,术后复查胸片肺复张良好。

该手术是目前西北地区为数不多的,我院首例大气道肿瘤切除、隆突重建气管成形术,这一手术的成功完成标志着我院胸外科临床水平的又一次重大突破与提高,充分展现了我院各科室之间紧密协作的能力与水平,同时也会为更多气管肿瘤、晚期肺癌患者的治疗带来了新的希望、创造了手术机会。
体外膜肺氧合(ECMO),适用于常规心肺支持手段(如机械通气、IABP等)难于维持的严重呼吸衰竭、心力衰竭、心跳呼吸骤停、高危心血管介入及外科手术围术期患者的生命支持,可以部分或完全替代患者心肺功能。该技术通过静脉内导管把静脉血引出体外,经过体外氧合器进行氧合,氧合后的血液再重新通过静脉/或动脉输回体内,使危重症抢救成功率明显上升。2019年年底在武汉爆发的新型冠状病毒肺炎严重的危害人民群众的健康,正是ECMO的全国调用,挽救了一大批生命垂危的患者。
气管重建及成形手术是肺外科领域的高精尖手术,国内许多大型综合医院及肺外科专科医院对此项手术的开展较多,特别是北京、上海、广州等国内发达地区。以往该项手术操作中,为确保术中呼吸功能的维持,需要术中与麻醉师台上台下紧密配合,随时变换气管插管位置,有时为保证呼吸循环稳定,甚至需要在体外循环(CPB)下完成操作。如今随着ECMO技术在临床的广泛应用及开展,使得术中呼吸功能的维持变得更加便捷并且安全可靠,再加上麻醉中气管插管的间断辅助通气,患者术中呼吸功能的维持更是得到了进一步的保障,为一些复杂的肺外科手术提供了更好的条件去完成。
在本例手术开始之前,李少民主任对手术方式进行了两套预案,对于术中如何切除病变气管以及切除后如何使肺门充分松解而不影响术中支气管吻合成形以及预防术后吻合口瘘等术前做了充分的准备。
目前,该手术的顺利完成,填补了我院此项技术的空白,但是,这仅仅是个好的开端,我们仅进行了气管的操作,对于一些更为复杂的患者,有时还需要同时对肺动脉、肺静脉进行切除及吻合操作,其难度将更为提高。未来,我们会在这方面进一步研究和探讨,争取有更近一步的突破,不断总结经验教训,使之更加规范化、科学化,渐臻完善。