电话:029-87679000(总机)

地址:陕西省西安市西五路157号

邮编:710114

网址:www.2yuan.xjtu.edu.cn

国际版| 员工版| 进入旧版|

阅影探案,析病寻踪 // 第二期(上)

时间:2026-01-23   作者:明宗娟   责编:呼吸与危重症医学科     来源:     阅读:

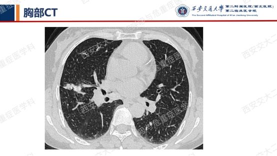
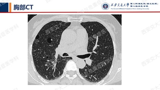
影像方寸藏玄机,同影异病辨真章。第一期我们就弥漫性囊性肺疾病的诊断做了粗略分析,除BHD、LAM等疾病外,还有其他一些疾病也需要我们仔细鉴别。在上期的解析中,我们留下了2例影像资料大家温故知新,相信通过系列的学习,大家很快会得出精准的答案。今天就让我们继续一起抽丝剥茧,揭秘医学真相,继续解锁临床那些有意思的病例谜题吧!


阅影探案








析病寻踪

结合以上病史及胸部CT,您的初步考虑?还需要哪些检查?


分享到: