医院概况
医院简介
组织机构
领导团队
联系我们
就诊服务
预约挂号
专家出诊
体检服务
医保服务
护理到家
就诊须知
就医流程
多学科诊疗
特色医疗
来院交通
住院指南
价格公示
科室导航
内科系统
外科系统
医技•平台
病院•中心
专家介绍
内科系统
外科系统
医技•平台
病院•中心
新闻中心
医院要闻
综合新闻
科室动态
人文关怀
媒体二院
公告
数字院报
医护工作
医疗动态
护理动态
医学教育
本科生教育
研究生教育
住培专培
继续教育
教学之窗
规章制度
下载专区
科学研究
科研动态
科研管理
学科建设
重点学科
医工交叉
中西医协同旗舰医院
信息公开
医院概况
医院环境
行风建设
医疗服务
财务信息
招标采购
采购公告
中标公告
人才招聘
电话:029-87679000(总机)
地址:陕西省西安市西五路157号
邮编:710114
网址:www.2yuan.xjtu.edu.cn
国际版
|
员工版
|
进入旧版
|
医院概况
医院简介
组织机构
领导团队
联系我们
就诊服务
预约挂号
专家出诊
体检服务
医保服务
护理到家
就诊须知
就医流程
多学科诊疗
特色医疗
来院交通
住院指南
价格公示
科室导航
内科系统
外科系统
医技•平台
病院•中心
专家介绍
内科系统
外科系统
医技•平台
病院•中心
新闻中心
医院要闻
综合新闻
科室动态
人文关怀
媒体二院
公告
数字院报
医护工作
医疗动态
护理动态
医学教育
本科生教育
研究生教育
住培专培
继续教育
教学之窗
规章制度
下载专区
科学研究
科研动态
科研管理
学科建设
重点学科
医工交叉
中西医协同旗舰医院
信息公开
医院概况
医院环境
行风建设
医疗服务
财务信息
招标采购
采购公告
中标公告
人才招聘
国际版
|
员工版
|
进入旧版
新闻中心
首页
>
新闻中心
>
综合新闻
医院要闻
综合新闻
科室动态
人文关怀
媒体二院
公告
数字院报
09-14
2024
静心守护、“脉”向安全--血液内科在西安市护理学会健康教育情景模拟展示中荣获佳绩
9月13日下午,血液内科臧昕昭、李维、胡珊珊、刘晶4人组成的护理团队凭借出色的表现,一举夺得“十佳案例奖”,为我院护理队伍再添佳绩! 为大力普及静脉治疗护理科学知识,提升健康教育能力,西安护理学会静脉治疗护理专业委员会开展以“...
09-14
2024
我院神经内科举办西部头痛眩晕高端沙龙学术活动
9月13日下午,第101期西部头痛眩晕高端沙龙学术活动在我院神经内科成功举办。 本次学术沙龙活动由我院神经内科主任展淑琴主持,副院长张蓬勃莅临活动现场并致辞。 来自西安交通大学第一附属医院神经内科的罗国刚教授以《...
09-14
2024
【提升服务质量,改善患者就医体验】——神经外科走进健康管理部学习交流
自暑期工作会议以来,神经外科以国考指标提升为目标,积极开展了提高医疗服务占比、病历质量提升等系列提质增效活动并取得阶段性改进。为持续深化“以病人为中心”的服务理念,积极提升患者服务质量,改善就医环境,9月11日,...
09-14
2024
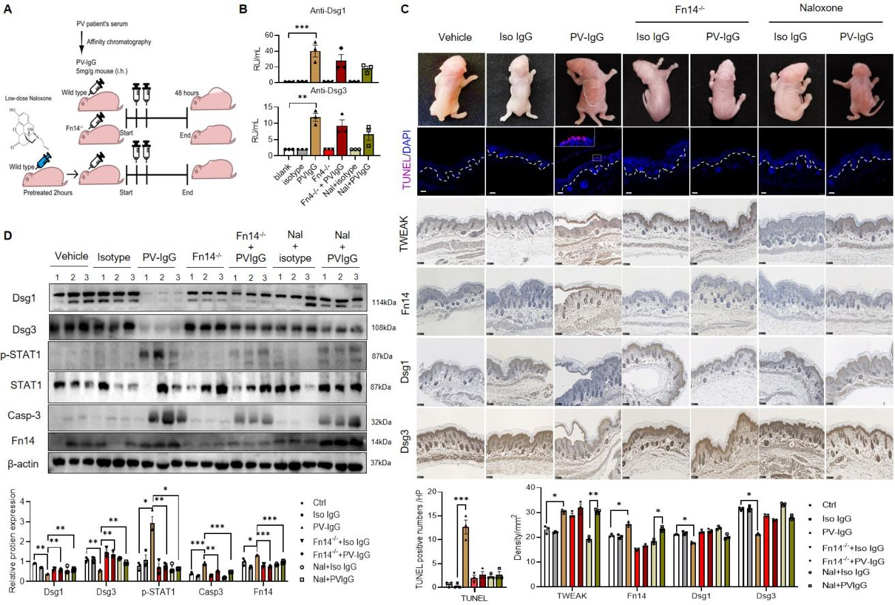
J Autoimmun│刘亚乐、夏育民教授团队创新性老药新用,逆转天疱疮棘层松解
近日,皮肤病院刘亚乐副研究员与夏育民教授在自身免疫学领域顶级期刊《自身免疫杂志》发表原创性研究。研究发现了天疱疮患者皮损及血液中活化的肿瘤坏死因子样弱凋亡诱导蛋白(TWEAK)/成纤维细胞生长因子14(Fn14)通路导致角质细胞凋亡,...
09-14
2024
神经病学慕课课程荣获教育部在线教育研究中心10周年纪念勋章
近日,我院神经病学慕课荣获教育部在线教育研究中心10周年纪念奖章。我院神经病学慕课为国内首家神经病学慕课,陕西省首批线上精品课程。《神经病学》于 2018 年 11 月 10 日在“爱课程”、“学堂在线”两个国家级平台上线。...
共14409条
首页
上页
1
...
370
371
372
373
374
...
2882
下页
尾页
第
/2882页
跳转